捍宇前沿
捍宇前沿

结构性心脏病

前沿探索者

NEW OPPORTUNITIES FOR INNOVATIVE INVESTMENT IN
STRUCTURAL HEART DISEASE
手术回顾
2020.08.18
华中科技大学同济医学院附属协和医成功完成后疫情时代华中地区首例ValveClamp经导管二尖瓣修复术

2020年8月16日后疫情时代的武汉,华中科技大学同济医学院附属协和医院(后简称武汉协和医院)董念国教授团队联合复旦大学附属中山医院葛均波院士团队应用上海捍宇医疗科技有限公司研发的经心尖二尖瓣夹合器系统(ValveClamp)成功为一位重度二尖瓣关闭不全的高龄患者实施微创夹合手术。本次手术是后疫情时代首次沪鄂联动,在此之前武汉协和医院董念国教授团队首先在华中地区完成了经导管心脏四大瓣膜介入置换手术,本次是华中地区心外科首例经导管二尖瓣介入修复,手术的成功也显示了ValveClamp强大的手术效果及优越的器械性能,其依然在治病救人的道路上砥砺前行。

 

 

(董念国教授团队、葛均波院士团队在超声科谢明星教授团队超声引导下进行手术操作)

 

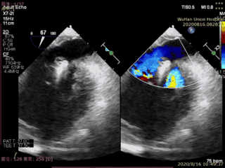
本例患者是一名高龄男性,合并多种疾病,术前超声心动图显示二尖瓣后叶P2脱垂、连枷伴重度二尖瓣反流。手术在食道超声引导下进行,植入1枚IIIs型二尖瓣夹合器,术后即刻显示二尖瓣反流消失,导管操作时间不到20分钟,手术取得圆满成功。

 

 

术前超声图

 

 

术后超声图

 

经导管二尖瓣治疗是经导管主动脉瓣置换术(TAVR)之后最有前景、最前沿的经导管瓣膜治疗技术,目前已在全世界逐渐发展起来。其中,ValveClamp是我国自主研发的首个进入上市前临床试验的二尖瓣微创介入治疗器械,其手术是一种“在跳动的心脏上”完成的超微创手术,该手术具有创伤小,无需心脏停跳及体外循环等特点,故安全性更高,尤其适合于无法耐受传统外科手术的老年患者。

目前ValveClamp已在国内十余家权威的心脏中心开展,我们期待更多的二尖瓣疾病患者可以接受此项微创治疗。