捍宇前沿
捍宇前沿

结构性心脏病

前沿探索者

NEW OPPORTUNITIES FOR INNOVATIVE INVESTMENT IN
STRUCTURAL HEART DISEASE
手术回顾
2019.02.25
葛均波院士团队完成一例高难度经心尖二尖瓣夹合术——ValveClamp上市前临床研究已开启

近日,复旦大学附属中山医院葛均波院士团队使用我国自主研发二尖瓣器械ValveClamp,为一例高龄、高难度、极重度二尖瓣反流患者,完成了心脏不停跳的微创二尖瓣修复。该例患者手术效果满意,术后恢复良好。该例手术的成功,显示了ValveClamp强大手术效果及优越的器械性能,证实了该器械即使对病变解剖挑战性大的患者也能顺利完成手术。

 

 

图1  葛均波院士团队在手术中

 

该例患者是一名78岁男性,合并症较多,基础心功能差,传统外科手术风险极高,故选择了经心尖二尖瓣夹合术(ValveClamp)。然而,术前超声评估显示,患者后叶脱垂范围极大,达23mm,P2 和P3均有脱垂,反流颈宽度达13mm。严重二尖瓣反流导致患者心功能很差,血压较低。如此广泛的脱垂,使用国外同类产品完成经导管微创二尖瓣修复也是很有挑战,甚至无法完成的。葛均波院士团队分析患者病情后,选择了使用我国自主研发的二尖瓣器械ValveClamp为患者实施经心尖二尖瓣夹合术。反复尝试数次单个夹合器夹合后,患者仍有中重度二尖瓣反流。遂采取双夹合器技术,为患者植入两个夹合器,术后即刻患者反流减少至轻度,二尖瓣跨瓣压差仅为3mmHg。该例手术是ValveClamp首例采取双夹子技术,证明了该器械行双夹子技术是安全、可行的。手术由中山医院心内科葛均波院士、周达新教授、潘文志副主任医师,心外科魏来教授,心超室的潘翠珍教授、李伟主治医师,心外麻的郭克芳教授共同完成。

 

 

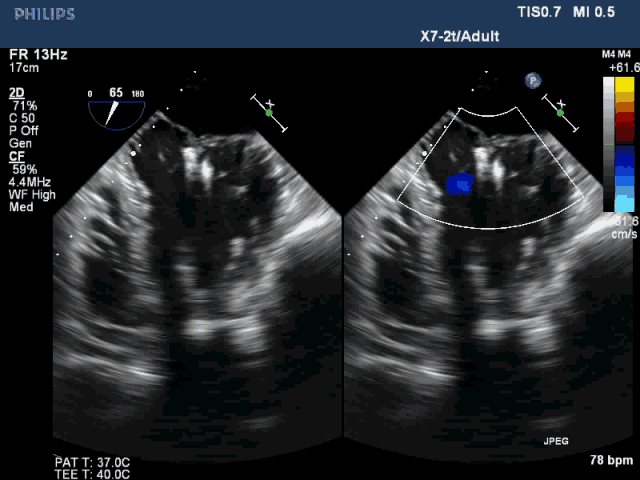
图2  术前食道超声显示二尖瓣大范围脱垂及极重度反流

 

 

图3  植入双夹合器后反流为轻度

 

ValveClamp上市前临床研究已开启

将在全国数个著名心血管中心进行

ValveClamp是上海捍宇医疗和复旦大学附属中山医院联合研发世界首个经心尖二尖瓣夹合器,相对于国外同类器械,具有操作简便、夹合范围更大、适应证更广等优点。区别于传统外科手术及目前胸腔镜下的微创手术,ValveClamp经心尖二尖瓣夹合术无需开胸及切开心脏,无需心脏停跳,只在心前区切开3cm切口,穿刺心脏送入器械进行手术操作,是一种“在跳动的心脏上完成的超微创手术”。其12例探索性临床研究研究已在2018年下半年完成,目前3-6个月随访结果非常满意,研究结果将在国际著名杂志发表。ValveClamp上市前临床研究已在近期开启,并已成功完成一些病例。该研究将在复旦大学附属中山医院、北京阜外医院、四川华西医院、浙江大学附属第二医院、北京安贞医院、广东省人民医院等全国著名心血管中心进行,纳入外科手术高危的、老年的、原发性二尖瓣反流患者。该临床研究将为ValveClamp产品获批上市提供详实数据,ValveClamp也有望成为国内首个获批的二尖瓣反流微创介入器械

(潘文志 复旦大学附属中山医院)